티스토리 뷰
혹시..나도 오십견? 이라는 생각이 드시나요?
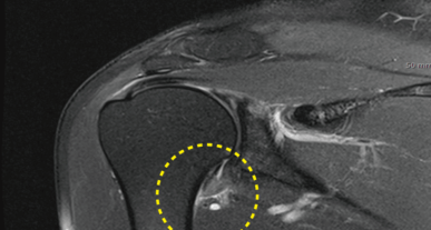
오십견은 어깨 관절을 싸고 있는 관절낭에 염증이 생겨, 일상생활에서 움직이는 범위만큼 움직이지 않는 질환입니다.
의학적 용어로 관절낭염, 동결견이라고도 합니다.
치료에 대해서 궁금해 하시는데 조기에 발견하면 수술 없이 물리치료 만으로도 충분히 증상을 개선시켜 나갈 수 있으니 증상과 치료법에 대해 잘 알아보시길 바랍니다.



오십견의 증상은?
오십견은 견관절 부위에서 발생하는 통증과 운동 제한을 동반한 상태로, 외상 없이 또는 경미한 외상 이후에 나타날 수 있습니다. 주로 50대 이후에 발생하며 특발성인 경우에는 원인을 알 수 없습니다.
환자들은 동통, 야간통, 그리고 운동 제한과 같은 증상을 겪게 됩니다.
1) 야간통은 특히 누워 있는 자세에서 더욱 심해져 수면 장애를 유발할 수 있습니다. 이러한 증상은 다른 어깨 질환에서도 나타날 수 있어 동결견과는 구별이 필요합니다. 관절 운동은 전방 거상, 외전, 외회전, 내회전이 모두 제한되며, 서서히 진행하여 환자의 일상 생활이 불편해지게 됩니다.



2) 동결견 초기에는 회전근 개 질환과 구별이 어려울 수 있지만, 시간이 지날수록 뚜렷한 차이가 나타납니다. 또한, 견갑 흉곽 운동이 주로 나타나면서 움직임에 "덜컹" 거리는 느낌이 생길 수 있습니다.
요약하면, 오십견은 견관절에서 발생하는 통증과 운동 제한을 동반하는 상태로, 특히 50대 이후에 발생하는 어깨 질환 중 하나입니다. 증상은 동통, 야간통, 운동 제한 등이며, 회전근 개 질환과의 구별이 중요합니다. 초기에는 어려울 수 있지만 시간이 지남에 따라 차이가 나타납니다.



오십견 치료방법 알아보기
동결견의 치료에는 물리 치료, 수술적 치료, 그리고 기타 치료 옵션이 있습니다.
1) 물리 치료
물리 치료는 동결견의 증상을 완화하고 운동 범위를 늘리는 데에 중요한 역할을 합니다. 이를 위해 다양한 운동이 포함되며, 신장 운동, 회전근 개 등장성 운동, 회전근 개 근력 강화, 적응 훈련 등이 시행됩니다.
신장 운동은 부드럽게, 천천히, 약간 아프게, 힘을 빼고, 수동적으로, 체계적이고 규칙적으로 시행되어야 합니다. 또한 에어로빅이나 조깅과 같은 15분 가량의 준비 운동 후 물찜질이나 목욕으로 진행되면 효과적입니다. 거상 운동과 중립위 외회전 운동 등도 수행됩니다.



2) 수술적 치료
물리 치료에도 불구하고 증상이 심한 경우 수술적 치료가 고려될 수 있습니다. 관절경술은 관절내 생리 식염수 주입, 이상 병변 제거술, 세척술 등을 통해 관절낭을 팽창시키고 동반된 병변을 조사하여 적절한 치료를 시행할 수 있습니다. 이는 임상에서 확인되지 못한 병변을 발견하는 잇점이 있습니다.
3) 기타 치료
수력학적 팽창술은 경제적이고 외래에서도 시행 가능하지만 초기에 효과적이며 반동 현상이 나타날 수 있습니다. 수동 동작은 경제적이지만 골다공증을 동반한 경우 골절의 위험이 있고, 반동 현상이 있을 수 있습니다.
이러한 치료 방법은 환자의 상태와 치료 경로에 따라 선택되며, 물리 치료는 주로 처방되는 초기 치료로 활용됩니다. 수술적 치료는 증상이 지속되는 경우나 심한 경우에 고려되며, 기타 치료는 개별적인 상황에 따라 적용됩니다. 모든 치료 방법은 전문가의 지도하에 시행되어야 하며, 환자의 특별한 상황과 응답에 따라 조절되어야 합니다.



오십견 운동 및 스트레칭 방법 알아보기
오십견 치료 운동법 및 스트레칭
오십견으로 고생하고 계신 분들은 스트레칭을 통하여 1)통증을 줄이고 2)운동범위를 회복시켜주는 것이 필요합니다. 운동 범위를 개선시키기 위해서는 스트레칭이 반드시 필요합니다. 7가지 스
sec.homefel.com


















>>함께 보면 좋은 글
관절 영양제 추천 7가지 알아보기
건강한 관절은 삶의 질을 높이고 일상 활동을 원활하게 수행하는 데 필수적입니다. 그러나 나이가 들면서 무릎 관절 통증이 늘어나는 경우가 많습니다. 이로 인해 많은 분들이 관절 건강을 위해
homefel.com
왼쪽 등쪽 통증원인 질병 8가지
등에서 나타나는 통증은 대부분이 근육통일 가능성이 높습니다. 하지만 지속적으로 통증이 지속되거나 그 외에 수반되는 증상들이 함께 나타난다면 다른 질환이 발생한 것은 아닌지 확인해 볼
homefel.com
아랫배가 아픈 이유 (부위별 통증)
복통은 두통만큼이나 흔하게 발생하는 증상 중에 하나입니다. 우리 몸에 여러가지 장기가 있는데 이 중에서 하나라도 이상이 생기면 복통이 일어나기 때문입니다. 오늘은 아랫배가 왜 아픈지
homefel.com
- Total
- Today
- Yesterday
- 왼쪽 등 통증
- 고지혈증 원인
- 혈당 정상수치
- 통풍 증상
- 공복혈당 정상수치
- 오블완
- 티스토리챌린지
- b형간염 항체검사
- 당화혈색소
- 고지혈증에 좋은 음식
- 신장기능
- 콜레스테롤
- 콜레스테롤 정상수치
- 신우신염
- 감마지티피 수치낮추는 법
- 공복혈당
- 콜레스테롤 높으면 나타나는 증상
- 감마지티피 정상수치
- b형간염 보균자
- 감마지티피 치료법
- 통풍 치료법
- 당화혈색소 정상치
- B형간염 예방접종
- 손가락 마디 통증
- 콜레스테롤 낮추는 방법
- 통풍 원인
- 고지혈증 수치
- 감마지티피 높으면
- 요양보호사
- 고지혈증 정상수치
| 일 | 월 | 화 | 수 | 목 | 금 | 토 |
|---|---|---|---|---|---|---|
| 1 | 2 | 3 | 4 | 5 | 6 | |
| 7 | 8 | 9 | 10 | 11 | 12 | 13 |
| 14 | 15 | 16 | 17 | 18 | 19 | 20 |
| 21 | 22 | 23 | 24 | 25 | 26 | 27 |
| 28 | 29 | 30 | 31 |
