티스토리 뷰
우리의 삶 속에서 건강은 가장 중요한 요소 중 하나입니다. 하지만 때로는 예기치 못한 건강 문제로 인해 일상 생활에 큰 지장을 받을 수 있습니다. 그 중 하나가 바로 기흉입니다.
기흉은 가슴에 심한 통증을 유발하며, 숨쉬는 것조차 어려워지는 심각한 상태입니다. 이번 글에서는 기흉의 증상, 원인, 그리고 치료 방법에 대해 자세히 알아보겠습니다.

기흉의 정의
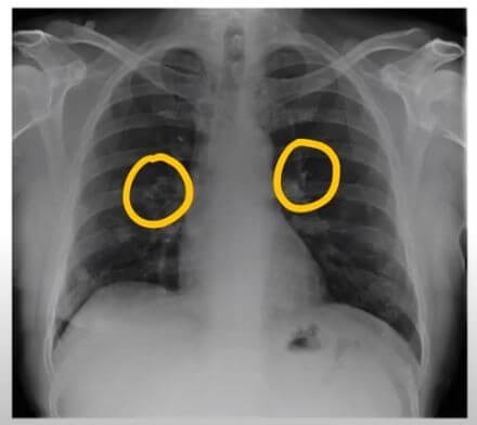
기흉은 폐의 표면과 흉벽 사이에 공기가 축적되는 상태를 말합니다. 이로 인해 폐가 충분히 팽창하지 못해 호흡 곤란과 통증을 유발합니다. 기흉은 자발적으로 발생할 수 있으며, 외상에 의해서도 발생할 수 있습니다.
기흉의 증상 기흉 증상은 흉통과 호흡곤란이 대표적입니다.
흉통은 대체로 갑자기 시작되며 24시간 정도가 지나면 사라집니다. 사람마다 흉통을 다르게 느낄 수 있는데, 등 쪽에서 담이 결린다고 하거나 숨쉴 때 가슴 통증이 느껴진다고 합니다.
호흡곤란은 환자의 상태에 따라 다르게 나타나며, 기존에 폐질환이 없는 사람의 경우 대체로 호흡곤란이 심하지는 않습니다. 하지만 기흉 증상이 심한 환자는 호흡이 불편할 정도의 호흡곤란을 느끼며 청색증이 동반될 수 있습니다.



기흉의 원인
기흉은 여러 가지 원인으로 발생할 수 있습니다.
1) 1차성 자연기흉
1차성 기흉은 키가 크고 마른 체격의 남성들에게 많이 나타나며, 폐의 윗부분에 있는 작은 공기주머니에 공기가 차면서 생깁니다. 주로 흡연자에게서 많이 발견되며, CT촬영을 하게 되면 대부분의 사람들이 폐에 이상을 보입니다.
2) 2차성 기흉
2차성 기흉은 교통사고나 외상 등의 충격으로 인해 폐가 손상될 경우 발생합니다.
만성 폐 질환이나 결핵, 암 등으로 인해 발생할 수도 있고, 유전적 요인으로 인하여 발생할 수도 있습니다.
3) 외상성 기흉
외부 충격에 의해 폐가 손상되면서 공기가 흉막 안으로 새어 나오는 것을 의미합니다.
교통사고나 상해로 인해 흉부 손실이 생길 경우 공기가 쌓일 수 있으며, 심할 경우 긴장성 기흉이 발생할 수도 있습니다.
기흉의 치료 방법
기흉의 치료 방법은 기흉의 종류와 정도에 따라 다릅니다
- 자연 치료(산소요법): 기흉 증상이 경미한 경우 산소를 투여하여 폐의 구멍이 저절로 아물 때까지 기다리는 치료를 진행합니다.
- 흉강천자: 기흉 증상이 심한 경우, 흉강천자 수술을 진행합니다. 가슴 안쪽에 액체 상태의 물질을 괴었을 때 천자 침으로 이를 뽑아내는 방법입니다.
- 흉관 삽관: 흉벽에 작은 구멍을 뚫고 가는 관을 삽입하여 공기나 액체를 제거하는 시술입니다. 이 시술은 기흉 증상이 심한 경우에 주로 사용됩니다.
- 수술: 재발성 기흉이나 심각한 기흉의 경우 수술이 필요할 수 있습니다. 수술은 폐의 손상된 부분을 제거하거나 흉막을 강화하여 재발을 방지합니다.
기흉 예방법
기흉을 예방하기 위해서는 생활 습관을 교정하는 것이 중요합니다.
흡연은 기흉의 위험을 높이는 주요 원인 중 하나로, 흡연을 피하는 것이 중요합니다.
균형 잡힌 식습관을 갖추고 규칙적인 운동을 하는 것도 도움이 됩니다.
또한 폐 건강을 위해서 정기적인 건강 검진을 받고, 평소 조심히 생활하는 것을 권장합니다.
기흉은 가슴 통증과 호흡 곤란을 유발하는 심각한 상태이지만, 적절한 치료와 예방을 통해 관리할 수 있습니다. 기흉의 증상을 인지하고, 적절한 시기에 의료진의 도움을 받는 것이 중요합니다.
>>함께 보면 좋은 글
늑간신경통 증세, 증상, 원인, 치료 : 왼쪽 오른쪽 갈비뼈아래 통증
옆구리 쪽부터 가슴까지 통증이 있거나, 숨을 깊이 들이쉬거나 마실 때 가슴을 찌르는 듯한 통증, 기침을 할 때 가슴에 통증, 가슴에 전기가 오는 듯한 찌릿찌릿한 통증이 있으신가요? 늑간신경
sec.homefel.com
폐렴 증상, 초기증상 : 폐렴구균 예방접종 알아보기
기침은 대수롭지 않게 여기는 경우가 많습니다. 실제로 그런경우가 많지만, 때로는 심각환 질환일 수도 있어 주의가 필요합니다. 기침이 문제가 되는 경우는 폐렴인데, 아이들에게서 많이 발
sec.homefel.com
부정맥 증상, 원인 및 치료방법 알아보기
어느 날 갑자기 심장이 두근거리거나 맥박이 빠르게 뛰는 것을 느껴본 적이 있나요? 이러한 증상은 부정맥이라는 심장 질환의 징후일 수 있습니다. 부정맥은 심장 박동의 속도나 리듬이 정상 범
sec.homefel.com






































