티스토리 뷰
기침은 대수롭지 않게 여기는 경우가 많습니다. 실제로 그런경우가 많지만, 때로는 심각환 질환일 수도 있어 주의가 필요합니다.
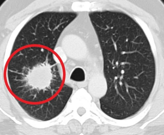
기침이 문제가 되는 경우는 폐렴인데, 아이들에게서 많이 발생하게 됩니다. 면역력이 어른들에 비해서 낮기 때문입니다. 폐렴은 단순히 기침으로 여기기 쉬워 발견이 늦어지는 경우가 많은데,
오늘은 이러한 문제를 빠르게 판단해보기 위한 폐렴 초기증상 원인 치료 방법에 대해 알아보고 성인 폐렴구균 예방접종도 살펴보겠습니다.

폐렴 초기증상
1) 기침과 가래
폐렴 초기증상의 대표적인 문제는 역시 기침과 가래입니다. 일상 속에서 꾸준한 기침과 가래를 유발할 수 있고 가래는 더욱 끈적하고 고름처럼 나오기도 합니다.
2) 발열
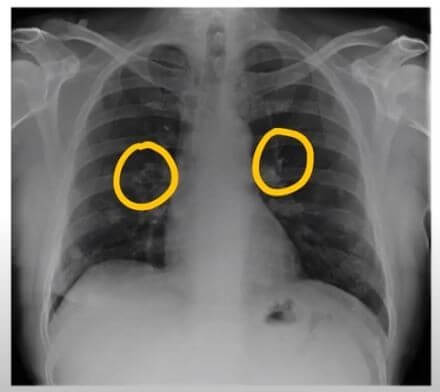
성인 폐렴 증상의 경우 발열이 발생할 수 있는데요. 기침과 함께 발생하게 되며 38도 이상의 고열을 유발하는 경우가 많습니다. 이 때문에 감기로 오인하기도 합니다.
3) 가슴통증
폐렴초기증상의 경우 가슴통증과 같은 문제도 제공할 수 있습니다. 이는 호흡할 때 주로 흉통이 심해진다는 특징 때문이기도 한데요. 이는 폐를 둘러쌓고 있는 흉막에 염증이 생기기 때문에 발생하는 것입니다.
왼쪽 갈비뼈 아래 통증 원인 (증상 분석)
왼쪽 갈비뼈 통증은 다양한 이유로 나타나게 됩니다. 왼쪽 갈비뼈 밑 통증이 콕콕 쑤시는 형태이거나 호흡도 불편한 감을 느끼신다면 원인을 반드시 찾아서 해결해야 합니다. 왼쪽의 통증 원인
sec.homefel.com
4) 극심한 피로감
폐렴초기증상을 경험하는 경우 극심한 피로감을 호소하기도 합니다. 해당 문제는 바이러스성일 경우 더욱 뚜렷하게 발생하여 독감과 비슷하게 피로감과 무기력증을 호소합니다.
5) 몸살
감기와 유사하게 몸 전체적으로 몸살 느낌을 받으실 수 있습니다. 각종 통증이 나타날 수 있는데 주로 근육통을 비롯하여 관절통을 느낄 수 있습니다.
6) 호흡곤란
폐에 발생하는 성인 폐렴 증상인 만큼 해당 문제로 인해 호흡곤란을 느낄 수 있습니다. 예전에 비해서 호흡 자체에 불편함을 느끼고 통증이 느껴지는 경우도 있습니다.
폐렴 원인
1) 세균
세균성 폐렴은 가장 흔한 유형의 폐렴입니다. 세균은 흡입되거나 혈류를 통해 폐에 들어갈 수 있습니다. 세균성 폐렴의 증상은 발열, 기침, 호흡 곤란, 가슴 통증입니다.
2) 바이러스
바이러스성 폐렴은 감기와 독감을 유발하는 바이러스로 인해 발생합니다. 바이러스성 폐렴의 증상은 세균성 폐렴과 유사하지만 일반적으로 덜 심각합니다.
3) 진균
진균성 폐렴은 곰팡이로 인해 발생하는 덜 흔한 유형의 폐렴입니다. 진균성 폐렴은 종종 면역력이 약한 사람들에게 영향을 미칩니다. 진균성 폐렴의 증상은 발열, 기침, 호흡 곤란, 피로입니다.
4)기타 원인
폐렴은 화학 물질 또는 연기 흡입, 질식, 흡입으로도 발생할 수 있습니다.
폐렴 치료
1) 일반적으로는 세균이라면 항생제, 바이러스라면 그에 알맞은 항바이러스제 투여를 하기도 합니다.
2) 결핵으로 인한 폐렴에는 항결핵제를 처방합니다. 증상에 따라서 해열제, 진통제 등 추가적인 처방을 내립니다.
3) 약 10-14일 정도의 폐렴 치료 기간이 필요합니다 증세를 관찰 후 추가적인 치료를 선택합니다.
폐렴구균 예방접종
폐렴구균 예방접종은 폐렴구균으로 인한 감염을 예방하기 위한 예방접종입니다. 폐렴구균은 폐렴의 주요 원인 중 하나이며, 폐렴뿐만 아니라 수막염, 중이염 등을 유발할 수 있습니다.
폐렴구균 예방접종은 다음과 같은 사람들에게 권장됩니다
- 65세 이상의 노인
- 만성 폐쇄성 폐질환, 당뇨병, 심장질환 등의 기저질환을 가진 사람들
- 면역력이 약한 사람들
- 수막염, 중이염 등의 폐렴구균 감염 위험이 높은 사람들
성인폐렴예방접종은 폐렴구균이 유발하는 감염을 예방하는 효과가 있습니다. 예방접종 후에는 폐렴구균으로 인한 감염 발생률이 감소합니다. 또한, 예방접종은 폐렴구균으로 인한 합병증 발생률을 감소시킵니다.
성인폐렴예방접종은 보건소나 병원에서 접종할 수 있으며, 보통 65세 이상의 노인과 기저질환을 가진 사람들에게 무료로 제공됩니다.
>>함께 보면 좋은 글
b형간염 보균자 전염 가능성, 주의사항, 검진
B형 간염 보유자는 B형 간염 항원을 갖고 있으면서도 간염의 증세가 없고 혈청 생화학 검사 수치가 정상인 경우를 지칭합니다. 비록 '간염 보균자'는 정확한 의학 용어는 아니지만, 일반적으로
sec.homefel.com
폐암 초기증상 : 폐암 4기 생존율은?
숨 쉬는 순간마다 위협하는 무서운 적, 폐암. 전체 암 사망 원인 1위를 차지하며, 진단 후 5년 내 사망률이 7~80%에 달하는 치명적인 질병입니다. 하지만 조기 발견 시 90%라는 놀라운 완치율을 기대
sec.homefel.com
늑간신경통 증세, 증상, 원인, 치료 : 왼쪽 오른쪽 갈비뼈아래 통증
옆구리 쪽부터 가슴까지 통증이 있거나, 숨을 깊이 들이쉬거나 마실 때 가슴을 찌르는 듯한 통증, 기침을 할 때 가슴에 통증, 가슴에 전기가 오는 듯한 찌릿찌릿한 통증이 있으신가요? 늑간신경
sec.homefel.com




































