티스토리 뷰
숨 쉬는 순간마다 위협하는 무서운 적, 폐암. 전체 암 사망 원인 1위를 차지하며, 진단 후 5년 내 사망률이 7~80%에 달하는 치명적인 질병입니다. 하지만 조기 발견 시 90%라는 놀라운 완치율을 기대할 수 있다는 사실, 알고 계셨나요?
오늘은 폐암이라는 적에 맞서 싸우는 데 필요한 지식을 알려드리고, 숨겨진 초기 증상부터 말기 증상, 그리고 4기 생존율까지 꼼꼼히 살펴보도록 하겠습니다.

폐암의 초기증상은?
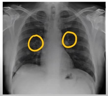
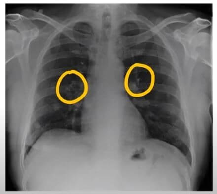
폐암은 초기에는 증상이 나타나지 않기 때문에 진단하기 어려운 암입니다. 그러나 폐암이 진행됨에 따라 다음과 같은 증상이 나타날 수 있습니다.
- 기침: 폐암의 가장 흔한 초기 증상입니다. 2주 이상 지속되는 기침이나 기침이 악화되는 경우 폐암을 의심해 볼 수 있습니다.
- 객혈: 기침할 때 혈액이나 혈액이 섞인 가래를 토하는 경우입니다.
- 호흡곤란: 숨이 가쁘거나 평소보다 숨을 쉬기가 더 어려울 수 있습니다.
- 흉통: 가슴 통증은 폐암의 증상일 수 있습니다.
- 쉰 목소리: 목소리가 쉬거나 흐릿해질 수 있습니다.
- 체중 감소: 식습관이나 운동량에 변화가 없는데도 체중이 감소할 수 있습니다.
- 피로: 평소보다 피곤하거나 에너지가 부족할 수 있습니다.
폐암의 다른 덜 흔한 초기 증상은 다음과 같습니다.
- 재발성 폐렴: 폐렴이 계속 재발하거나 치료에 반응하지 않는 경우 폐암이 원인일 수 있습니다.
- 상기도 폐쇄: 목소리가 쉰하거나 숨을 쉬는 데 어려움을 겪는 경우 폐암이 기도를 막고 있을 수 있습니다.
- 두통, 오심, 구토: 폐암이 뇌에 전이되면 두통, 오심, 구토 등의 증상이 나타날 수 있습니다.
- 뼈 통증과 골절: 폐암이 뼈로 전이되면 뼈 통증과 골절이 발생할 수 있습니다.
- 상대정맥증후군: 상체의 정맥이 붓는 경우 폐암이 상대정맥을 막고 있을 수 있습니다.
폐암의 생존율은?
기수별 폐암 생존율에 대해 알아보겠습니다. 전이정도에 따라서 생존율이 많이 달라지게 됩니다.
- 1기: 암이 폐 한쪽에만 국한되어 있고 주변 조직이나 림프절에 전이되지 않은 경우입니다. 5년 생존율은 80% 이상으로 가장 높습니다.
- 2기: 암이 폐 한쪽에만 국한되어 있지만 주변 림프절에 전이된 경우입니다. 5년 생존율은 60-70% 정도입니다.
- 3기: 암이 폐 양쪽으로 퍼졌거나, 흉막이나 심장막, 횡격막 등 주변 조직에 전이된 경우입니다. 5년 생존율은 30-40% 정도입니다.
- 4기: 암이 먼 장기(뼈, 뇌, 간 등)로 전이된 경우입니다. 5년 생존율은 5-10% 정도입니다.
폐암의 예방방법은?
1. 금연
흡연은 폐암의 가장 큰 위험 요인입니다. 담배를 피우지 않는 것이 폐암 예방의 가장 중요한 방법입니다. 이미 흡연하는 경우 금연을 하는 것이 중요합니다. 금연은 쉽지 않지만, 여러 가지 금연 프로그램과 금연 보조제가 도움이 될 수 있습니다.
2. 간접흡연 피하기
간접흡연도 폐암 발병 위험을 높입니다. 흡연자가 있는 환경을 피하거나, 흡연자가 있는 환경에서는 마스크를 착용하는 것이 좋습니다.
3. 대기 오염 피하기
대기 오염도 폐암 발병 위험을 높입니다. 미세먼지, 황사 등 대기 오염 물질이 많은 곳은 피하거나, 마스크를 착용하는 것이 좋습니다.
4. 건강한 식습관
채소, 과일, 통곡물 등 영양소가 풍부한 음식을 섭취하는 것이 폐암 예방에 도움이 됩니다. 또한, 가공식품, 튀김, 지방이 많은 음식 등은 섭취를 줄이는 것이 좋습니다.
5. 규칙적인 운동
규칙적인 운동은 면역력을 높이고 폐암 발병 위험을 낮출 수 있습니다. 일주일에 3-5번, 30분 이상 운동하는 것이 좋습니다.
6. 정기적인 검진
40세 이상 흡연자 또는 폐암 가족력이 있는 사람은 정기적인 폐암 검진을 받는 것이 좋습니다. 폐암 조기 진단은 치료 성공률을 높일 수 있습니다.
7. 기타
라돈 가스 노출 피하기
석면, 비소 등 발암 물질 노출 피하기
비만 예방
스트레스 관리
폐암도 우리나라에서 생각보다 흔히 걸리게 되는 암의 종류입니다. 생활 속에서 누적되는 미세먼지, 가스노출, 흡연에 대한 노출을 최대한 줄이고, 모든 병의 기본이 되는 생활습관 개선을 통해 하루하루 건강하게 오래 살아가면 좋겠습니다.
>> 함께 보면 좋은 글
위암 초기증상 및 말기증상 , 원인 알아보기
요즘 음식점들을 가면 정말 자극적인 음식들이 많습니다. 기본적으로 우리나라 식습관은 짜고 뜨거운 국물을 즐겨 먹는 식습관 때문에 위궤양이나 위염이 쉽게 걸리게 됩니다. 이전에는 위암
sec.homefel.com
염증수치 낮추는 음식 8가지 (crp 정상범위, 수치)
염증은 우리 몸의 면역 시스템이 감염이나 손상에 반응하는 과정입니다. 하지만 만성 염증은 다양한 건강 문제를 일으킬 수 있으며, 이를 측정하는 하나의 방법이 CRP(반응성 C-단백질) 검사입니
sec.homefel.com
췌장염 증상 , 초기증상 , 원인 및 치료법
췌장염은 췌장의 염증으로 인해 발생하는 질환으로, 췌장의 기능을 저하시키고 심각한 합병증, 통증 가져옵니다. 치료 또한 개별적인 상황과 원인에 따라 달라질 수 있으므로, 적절한 치료 계획
sec.homefel.com
지방간 간수치 정상범위(ALT, AST) 높을 때 나타나는 증상
지방간은 증상이 없기 때문에 스스로 자각하기는 힘들고, 대게 건강검진을 통하여 이상여부를 알게 됩니다. 요즘은 식습관, 운동부족 등으로 간이 안 좋아지는 시기가 점점 더 빨라지고 있습니
sec.homefel.com










































































